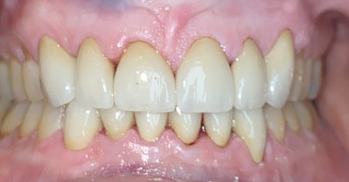
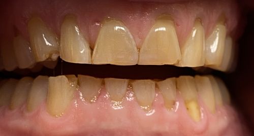
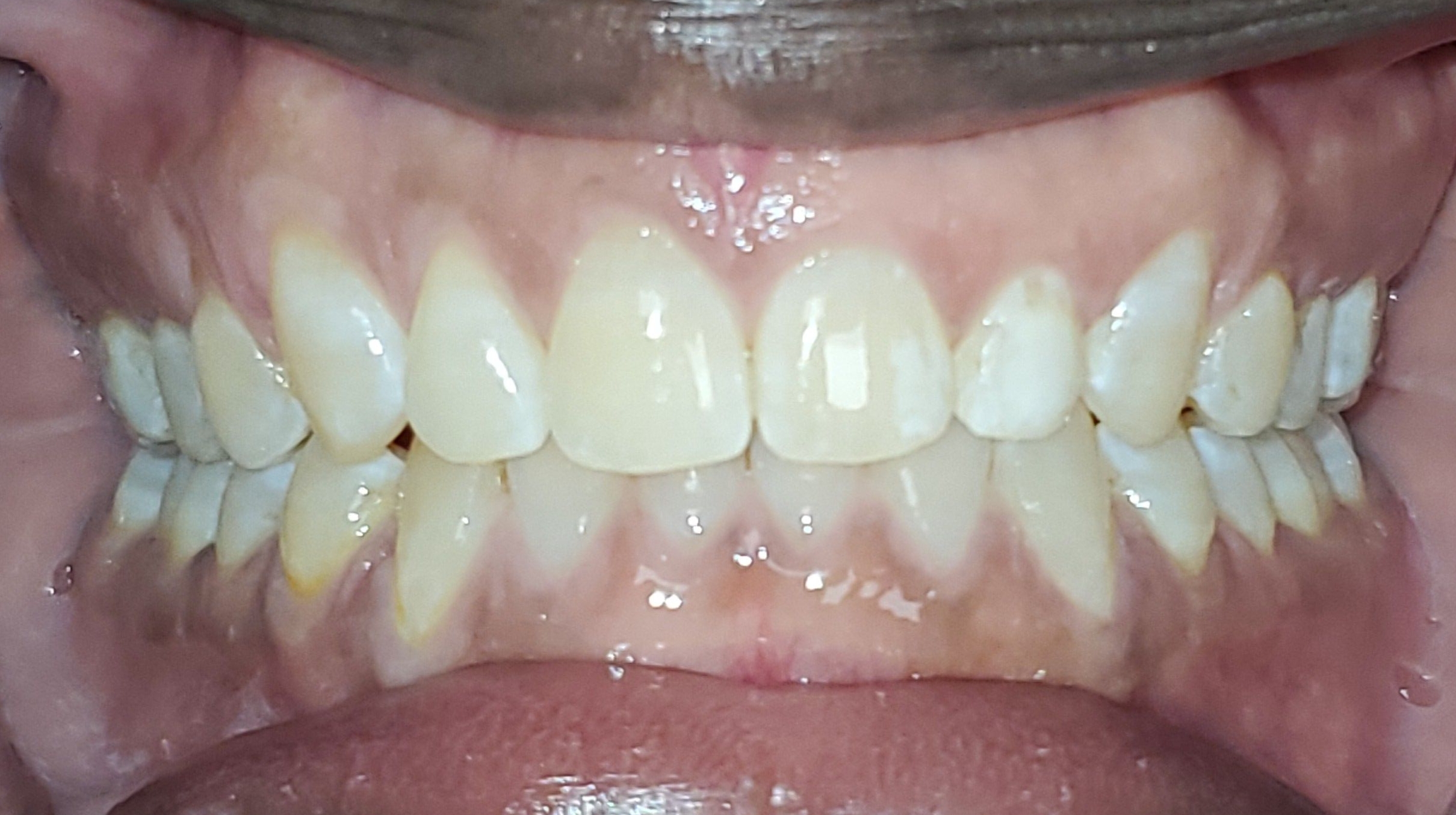
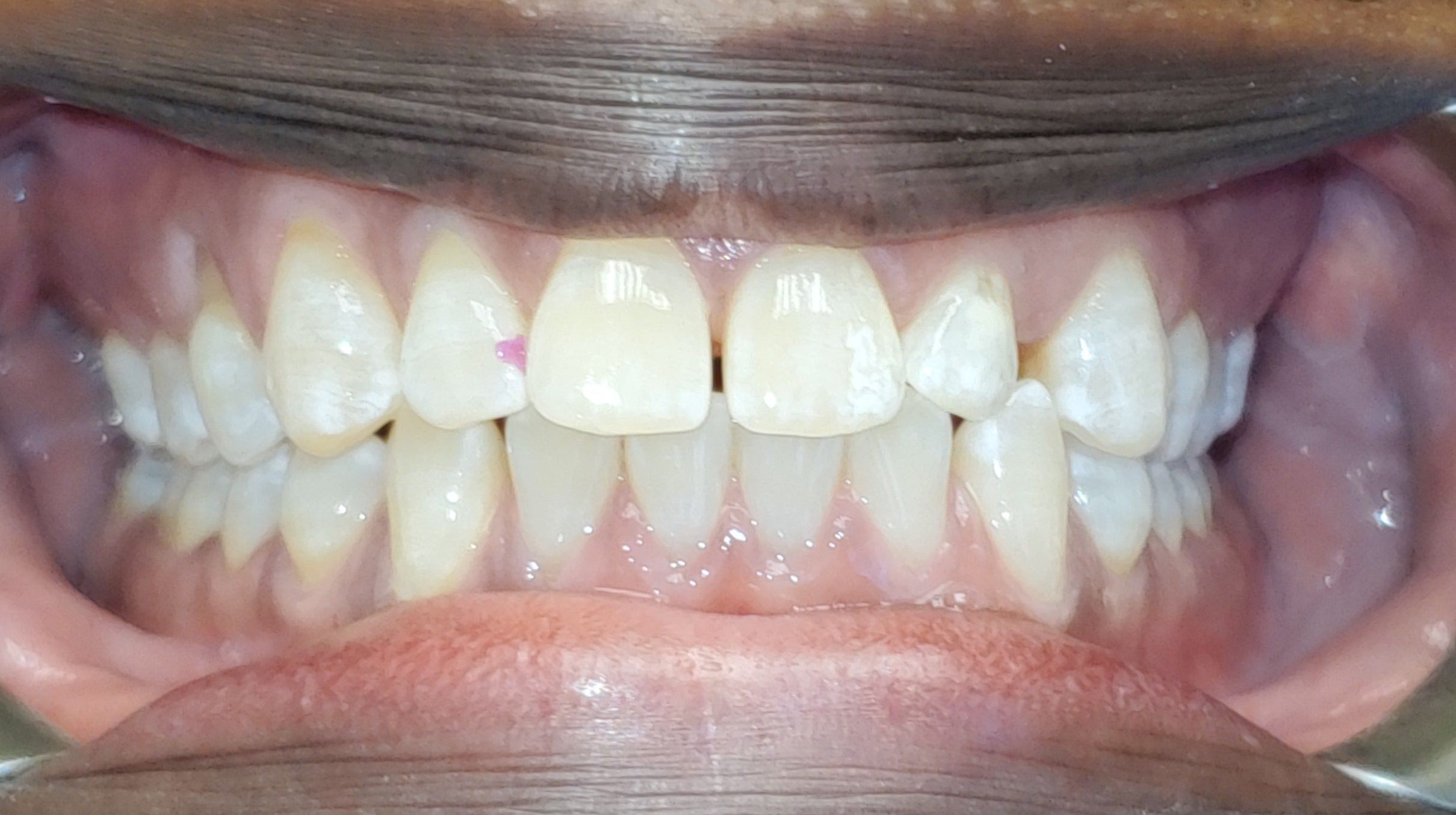
Before & Afters

Transforming Smiles, Changing Lives
Stories & Results From Past Patients
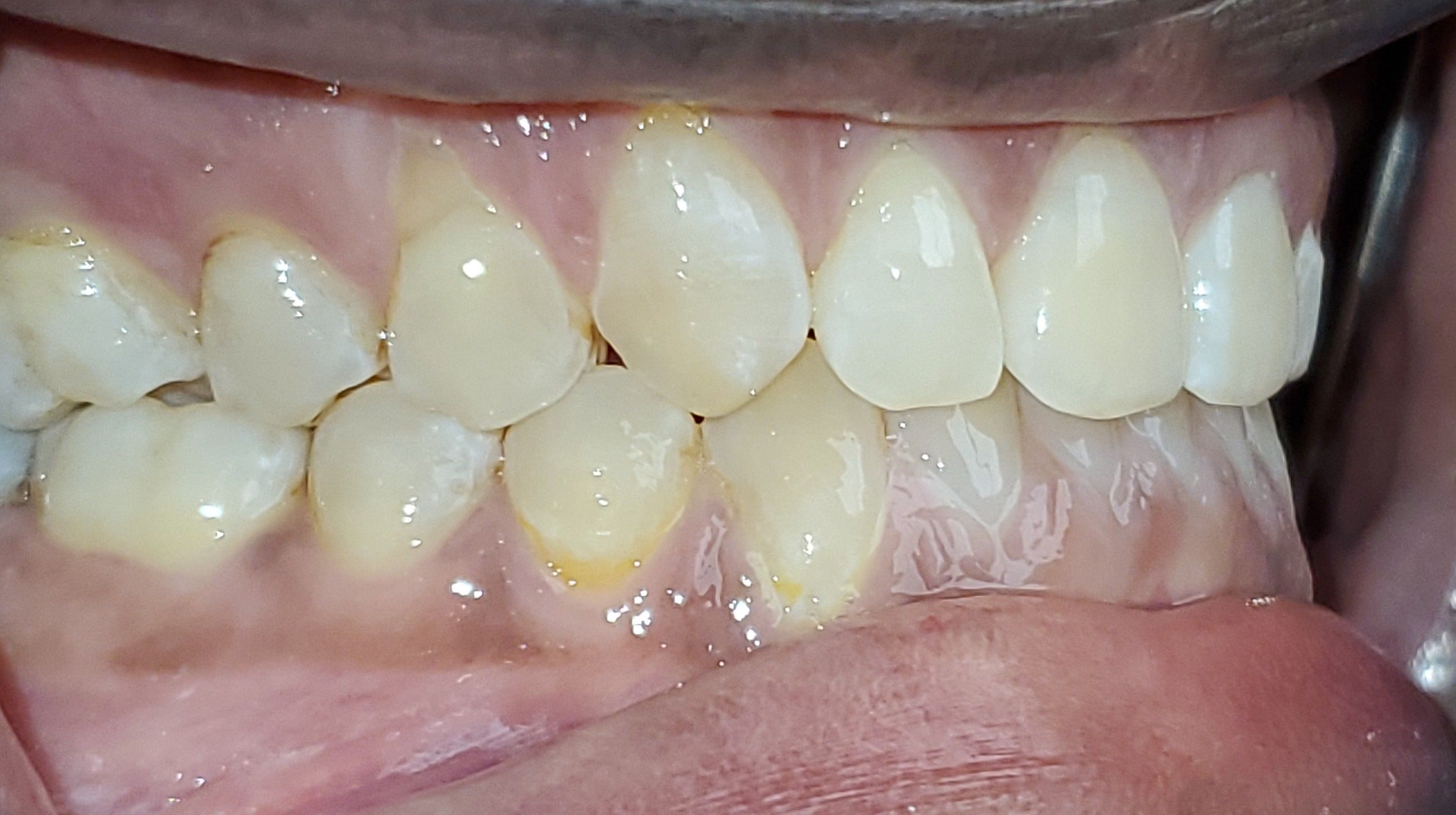
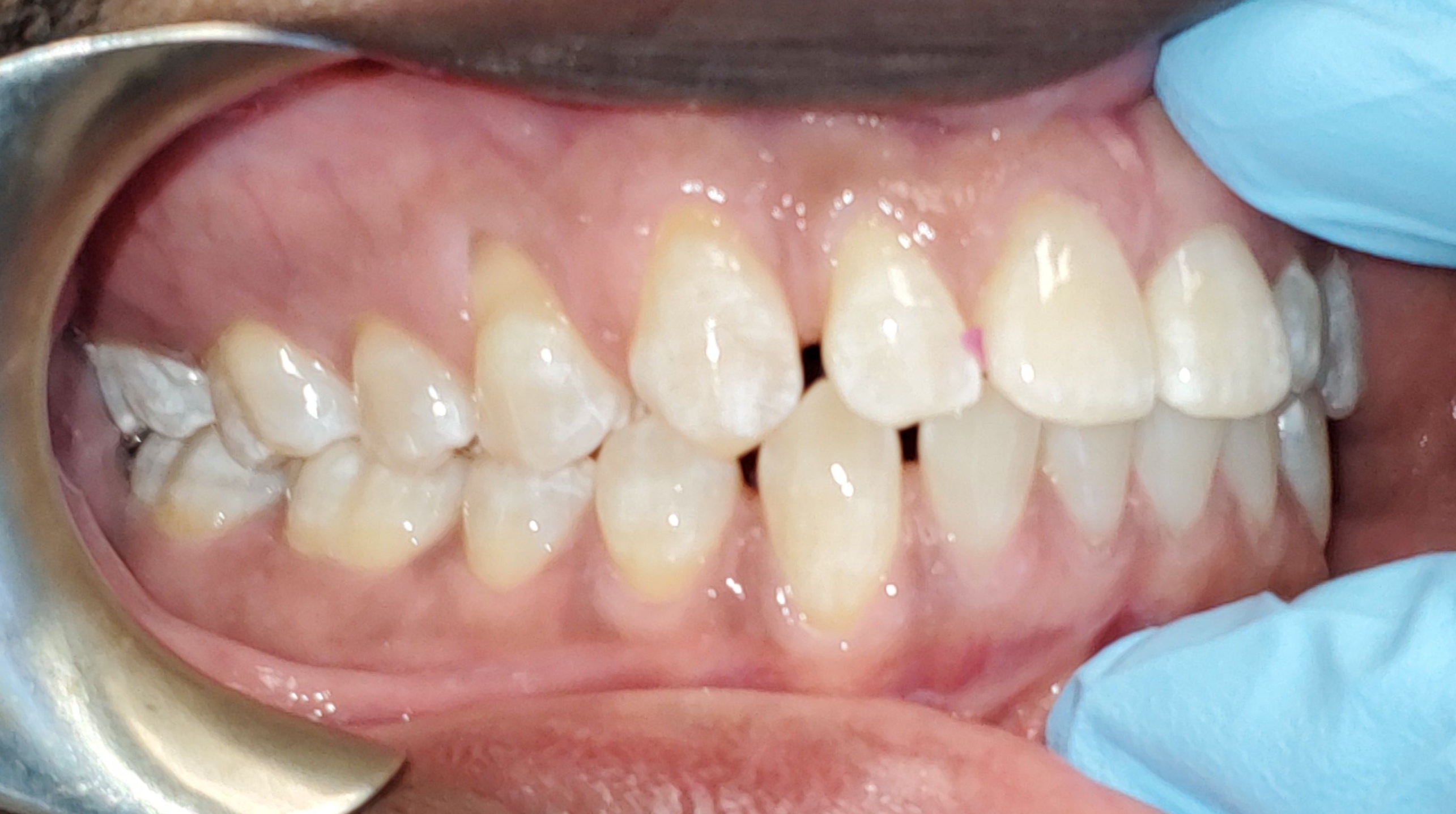
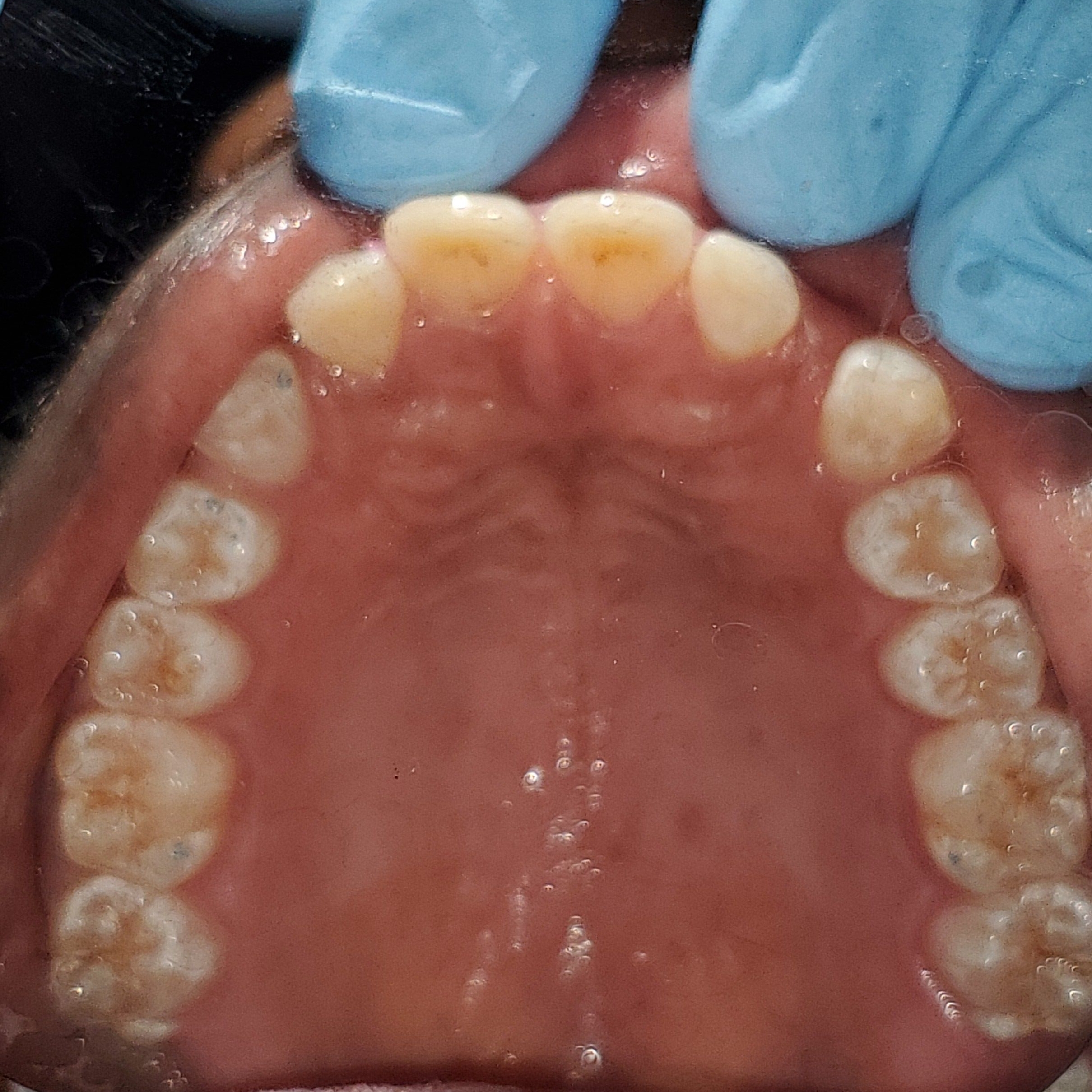
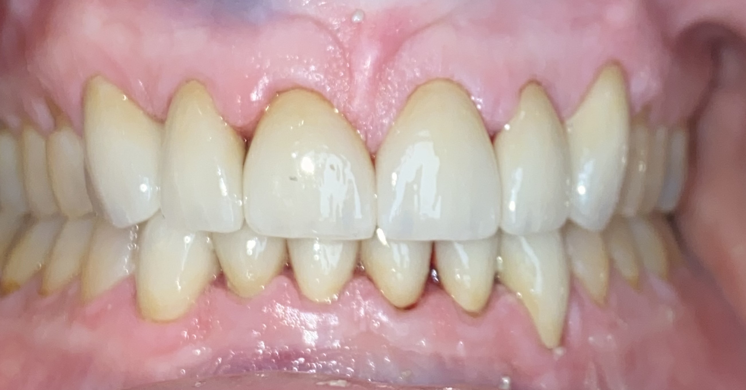
We love helping our patients enhance their smiles, get out of pain, and replace or restore missing teeth. No matter what your situation may be, Dr. McGrath and the team at Apollonia Dental can help you get the dental care you need. Wondering what we can do for you? Take a look at some real stories and “before and afters” from our past patients below.





























